Menu
Reviews
Call Now
Appointment
Call Today
702-364-2373
🔺 COVID-19 Safety Info
See Our Reviews
Request An Appointment
Book Online
Home
About
Our Practice
Amy Tongsiri, DMD
Greta Barba, DMD
Meet Our Team
Office Tour
Dental Savings Plan
Financing
Our Blog
Services
View All Services
General Dentistry
Family Dentistry
Cosmetic Dentistry
Teeth Whitening
Exam and Cleaning
Dental Implants
Dental Fillings
Dental Crowns
Orthodontics
Technology
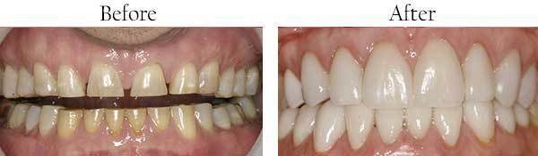
Before / Afters
Offers
Reviews
Patient Info
Contact
Smile Gallery
Before and After Gallery